Skip to main content
Les cancers rares en Belgique
Planet Health
Mediaplanet Belgique
Santé Féminine
Maladies Rares
Soins de Santé
Traitements & Patients
Mind & Body
More
Au cœur de la digestion
Future of Health
Neurologie
Maladies Chroniques
Vivre avec le Cancer
Santé Mentale
Santé & Innovation
Traitements & thérapies
Vivre Avec le VIH
Cardiologie & hématologie
Vivre Avec...
Au cœur de la digestion
Future of Health
Neurologie
Maladies Chroniques
Vivre avec le Cancer
Santé Mentale
Santé & Innovation
Traitements & thérapies
Vivre Avec le VIH
Cardiologie & hématologie
Vivre Avec...
Maladies rares
Fibrose pulmonaire : « On apprend à vivre avec la maladie, mais aussi avec la peur »
Maladies rares
Dans le jeu de la vie, tout le monde ne joue pas avec les mêmes cartes
Maladies Rares
Le dépistage précoce des maladies rénales sauve des vies
Maladies rares
Améliorer les résultats de santé des patients
Maladies rares
Des cancers discrets mais bien réels : mieux comprendre les tumeurs neuroendocrines
Maladies rares
Comprendre le syndrome de l’X fragile, première cause héréditaire de déficience intellectuelle
Maladies Rares
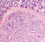
Les cancers rares en Belgique
En Belgique (et dans de nombreuses études européennes), on utilise la définition de RARECARE : un cancer est considéré comme « rare » lorsque son incidence est inférieure à 6 nouveaux cas pour 100 000 habitants par an.
Maladies rares
La Huntington Academy, un soutien vital pour cette maladie orpheline
Maladies rares
L’innovation aux abonnés absents pour les traitements du cancer pédiatrique
Vivre avec le Cancer
CTCL : L’espoir de nouveaux médicaments
Sponsored
Mycosis fongoïde, une maladie difficile à démasquer
Maladies rares
Rester actif malgré une maladie musculaire rare : le pouvoir du football en fauteuil roulant